+918888700016
Currently it only shows your basic business info. Start adding relevant business details such as description, images and products or services to gain your customers attention by using Boost 360 android app / iOS App / web portal.

Pediatric Scoliosis Treatment in Balewadi – Early Spine Care for Growing Children
View Details
Best Spine Doctor in Balewadi – Advanced Evaluation for Lasting Relief
View Details
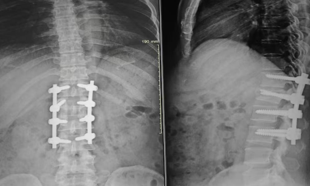
Scoliosis Correction Surgery in Balewadi – Understanding Treatment for Abnormal Spine Curvature
View Details
Scoliosis Correction Surgeon for Adult and Pediatric Patients in Balewadi
View Details
Best Scoliosis Surgery Specialist in Pune | Best Scoliosis Surgery Specialist in Baner |
View Details
Best Slipped Disc Specialist in Baner | Best Slipped Disc Specialist in Pune |
View Details
Best Spine Surgeon in Baner | Best Spine Specialist in Baner | Best Spine Surgeon in Pune |
View Details
Sciatica Treatment Specialist in Pashan – Focused Care for Nerve-Related Pain
View Details